Nasze

Familia - Dent Stomatologia i Medycyna Estetyczna

Zapoznaj się z usługami jakie wykonywane są w naszej klinice.

Familia - Dent Stomatologia i Medycyna Estetyczna

Estetyczne

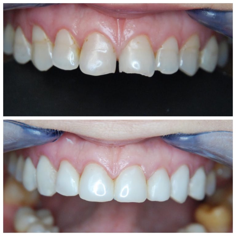
Duży nacisk kładziemy na estetykę naszych prac, dlatego używamy tylko wysokiej jakości materiałów. Stawiamy na naturalny wygląd, dopasowany idywidualnie do każdego pacjenta. U nas wykonasz:
-estetyczną odbudowę zębów (np. po urazie)
-bonding
-licówki kompozytowe
-licówki pełnoceramiczne





Familia - Dent Stomatologia i Medycyna Estetyczna

Protetyka

Utrata zębów może być poważnym problemem zarówno estetycznym jak I funkcjonalnym. Na szczęście w naszym gabinecie szybko i bezboleśnie można odbudować braki zębowe. Specjalizujemy się w wykonywaniu:
-koron pełnoceramicznych
-koron porcelanowych na metalu
-koron kompozytowych
-mostów protetycznych
-protez szkieletowych
-protez częściowych i całkowitych

Familia - Dent Stomatologia i Medycyna Estetyczna

Wybielanie

Profesjonalne, jedno wizytowe wybielanie zębów z zastosowaniem specjalnego żelu i lampy. Możemy uzyskać odcień zębów jaśniejszy nawet o kilka tonów.





Familia - Dent Stomatologia i Medycyna Estetyczna

Leczenie

Leczenie kanałowe zębów wielu osobom źle się kojarzy. W naszym gabinecie dokładamy wszelkich starań, żeby lecznie przebiegało w jak najbardziej komfortowych warunkach. W cięższych przypadkach istnieje możliwość leczenia zębów pod mikroskopem stomatologicznym.

Familia - Dent Stomatologia i Medycyna Estetyczna

Medycyna

Dopełnieniem pięknego uśmiechu są zabiegi, dzięki którym w szybki sposób możemy poprawić naszą urodę, a czasem nawet jakość życia. W naszym gabinecie wszystkie zabiegi wykonywane są przez dylomowanego lekasza medycyny estetycznej. Zapraszamy na:
-zabiegi z użyciem botoksu
-zabiegi z użyciem kwasu hialuronowego
-mezoterapię twarzy i skóry głowy
-fibrynę bogatopłytkową
-zabiegi z użyciem urządzenia Dermapen 4





Familia - Dent Stomatologia i Medycyna Estetyczna

Zabiegi

Stresujesz się w związku z wizytą u stomatologa?

Czy Twoje dziecko denerwuje się, siedząc na fotelu u dentysty?

Rozwiązaniem problemu może być zastosowanie uspokojenia wziewnego Uspokojenie wziewne( sedacja wziewna), to podanie pacjentowi mieszanki gazów medycznych(gaz rozweselający) za pomocą specjalnych maseczek. Pacjent pozostaje odprężony, nie stresuje się i uspokaja, będąc świadomym podczas całego zabiegu.